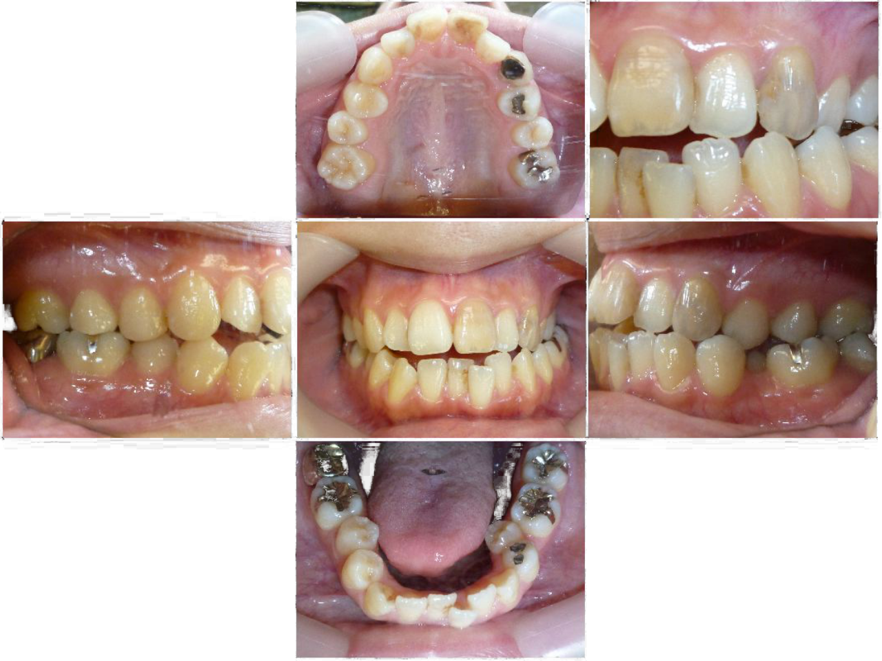
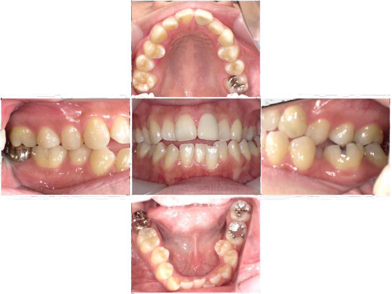
白い歯で美しい素敵な笑顔を。
歯を白くする事だけではなく、歯の形を整え、見た目にも機能的にも考慮し治療します。バランスの取れた口元を作り出すことで、健康で美しい素敵な笑顔が生まれます。
機能的な側面と審美的な側面、どちらも健康的な日常生活を送るうえで大事な要素ですが、保険診療による一般の歯科治療では、むし歯などの除去、失ってしまった歯の機能を回復するといった治療に重点が置かれ、治療した後の見た目や周りの歯との調和・機能性などを考えた場合には、限界があります。
当医院では、審美的にも機能的にも患者様一人ひとりに合った治療を行っております。











